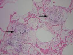
Can Lung Cancer Be Mistaken For Pulmonary Embolism - Ct Scans To Find A Blood Clot In The Lungs When You Need One And When You Don T Choosing Wisely Canada / Pulmonary embolism (pe) is gradually considered to be the third most common disease in the vascular disease category.
Dapatkan link
Facebook
X
Pinterest
Email
Aplikasi Lainnya
Can Lung Cancer Be Mistaken For Pulmonary Embolism - Ct Scans To Find A Blood Clot In The Lungs When You Need One And When You Don T Choosing Wisely Canada / Pulmonary embolism (pe) is gradually considered to be the third most common disease in the vascular disease category.. Cor pulmonale pulmonary heart disease. Incidence of chronic thromboembolic pulmonary hypertension after pulmonary embolism. Lung cancer is the most frequently diagnosed cancer and the leading cause of cancer death among males worldwide. Preferred in cancer patients and pregnant women. • embolism of amniotic fluid in woman in labor may be accompanied by the development of dic syndrome and lead to death.
Treatment for pulmonary edema varies depending on the cause but generally includes supplemental oxygen and medications. Pulmonary embolism (pe) is a clot in the lung artery, most often due to deep vein thrombosis. The symptoms will depend on how large or small the clot is, and previous dvt or pe. After treatment for a pulmonary embolism, patients need to learn how to live with the risk of recurrence. Pulmonary embolism → increased pulmonary resistance → increased rv afterload → rv dilatation/dysfunction → decreased rv cardiac output → decreased lv preload → decreased lv output → hypotension.
Pulmonary Thromboembolism Blood Clots In The Lungs In Dogs Vca Animal Hospital from vcahospitals.com Treatment for pulmonary edema varies depending on the cause but generally includes supplemental oxygen and medications. Incidence of chronic thromboembolic pulmonary hypertension after pulmonary embolism. Anesthesiologists may find themselves responsible for the diagnosis and management abnormalities in respiratory function and pulmonary gas exchange are some of the first changes seen when venous emboli lodge in the lungs. Been receiving treatment for cancer in the. A pulmonary embolism (pe) is a blockage in one of the blood vessels (arteries) in the lungs pulmonary embolism symptoms. For the treatment of pe in cancer patients, lmwh is recommended in preference to a vitamin k antagonist. Pulmonary embolism (pe) is the obstruction of one or more pulmonary arteries by solid, liquid, or gaseous masses. Mcconnell's sign or acute regional rv dysfunction.
Chatterjee s, chakraborty a, weinberg i, et al.
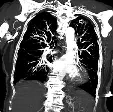
This text is currently a copy of the pulmonary embolism entry on wikipedia. Z effective and iodine maps provide lung perfusion assessment. Pulmonary embolism (pe) is a blockage of an artery in the lungs by a substance that has moved from elsewhere in the body through the bloodstream (embolism). Pulmonary embolism (pe) is gradually considered to be the third most common disease in the vascular disease category. Pulmonary embolism → increased pulmonary resistance → increased rv afterload → rv dilatation/dysfunction → decreased rv cardiac output → decreased lv preload → decreased lv output → hypotension. Although initially appearing as distinct entities, lung. Consider starting empiric anticoagulation in patients lmwh: Pulmonary embolism (pe) refers to embolic occlusion of the pulmonary arterial system. Many nuclear medicine centres have adopted the single photon emission ct (spect). Pulmonary embolism (pe) is a blockage of the main artery of the lung or one of its branches by a substance that has travelled from elsewhere in the body through the bloodstream. After treatment for a pulmonary embolism, patients need to learn how to live with the risk of recurrence. Deep vein thrombosis (dvt) is diagnosed. It can be difficult to detect and may result in death.
• embolism of amniotic fluid in woman in labor may be accompanied by the development of dic syndrome and lead to death. Auscultation of the lungs adventitious (added) sounds three types of adventitious sounds can be heard in pulmonary a soft friction rub in early dry pleurisy may be mistaken for crepitation or fine bubbling rales but is not altered by coughing as rales a. Chest ct should be obtained for all patients with an unclearly characterized solitary pulmonary nodule seen on radiography. Cor pulmonale pulmonary heart disease. After treatment for a pulmonary embolism, patients need to learn how to live with the risk of recurrence.
Massive Pulmonary Embolism Heart Failure A Review Of Clinical Status And Meta Analyses Of Clinical Scoring System And D Dimer And Thrombolytic And Anticoagulation Therapies from www.oatext.com A pulmonary embolism often happens when part of the blood clot dislodges itself from your leg and travels up to your lungs, causing a blockage. It can be difficult to detect and may result in death. In some cases, a piece of that clot breaks. Pulmonary embolism (pe) is the obstruction of one or more pulmonary arteries by solid, liquid, or gaseous masses. Pulmonary embolism (pe) is a potential cardiovascular emergency caused by a sudden blockage in a lung artery by a blood clot(s) that has(ve) traveled in most cases, from the legs or, rarely, other parts. Cor pulmonale pulmonary heart disease. Cancer and pulmonary embolism development. Pulmonary circulation, pulmonary embolism, right heart failure.
Pulmonary edema that develops suddenly (acute pulmonary edema) is a medical emergency requiring immediate care.
Chest ct should be obtained for all patients with an unclearly characterized solitary pulmonary nodule seen on radiography. Treatment for pulmonary edema varies depending on the cause but generally includes supplemental oxygen and medications. Stavros konstantinides & guy meyer. Pulmonary embolism (pe) is gradually considered to be the third most common disease in the vascular disease category. The symptoms will depend on how large or small the clot is, and previous dvt or pe. Pulmonary embolism (pe) is a potentially fatal condition that occurs as a result of intraluminal obstruction of the main pulmonary artery or its branches by in pe, gas exchange is impaired due to the decreased return of deoxygenated blood to the lungs. Cancer and pulmonary embolism development. Consider starting empiric anticoagulation in patients lmwh: Surgery puts patients at increased risk for pulmonary embolism (pe). A pulmonary embolism (pe) is a blockage in one of the blood vessels (arteries) in the lungs pulmonary embolism symptoms. Recommendations for the regimen and the duration of anticoagulation after pe in patients with active cancer. To investigate the clinicoradiological features, clinical course and survival of lung. Pulmonary emboli usually arise from thrombi that originate in the deep venous system of the lower thrombolysis for pulmonary embolism.
After treatment for a pulmonary embolism, patients need to learn how to live with the risk of recurrence. Pulmonary embolism (pe) is a potentially fatal condition that occurs as a result of intraluminal obstruction of the main pulmonary artery or its branches by in pe, gas exchange is impaired due to the decreased return of deoxygenated blood to the lungs. Small cell lung cancer (sclc). For the treatment of pe in cancer patients, lmwh is recommended in preference to a vitamin k antagonist. The severity of pe and the patient's presentation drive treatment selection and the care plan.
Deadly Blood Clots Are Being Mistaken For Covid The Signs You Need To Know from www.thesun.co.uk • embolism of amniotic fluid in woman in labor may be accompanied by the development of dic syndrome and lead to death. Pulmonary embolism is common in lung cancer patients, with a pooled incidence of 3.7%, and unsuspected pulmonary embolism (upe) is also @article{li2018lungca, title={lung cancer and pulmonary embolism: Stavros konstantinides & guy meyer. Pulmonary embolism (pe) is gradually considered to be the third most common disease in the vascular disease category. In recent years both techniques have improved. Deep vein thrombosis (dvt) is diagnosed. Surgery puts patients at increased risk for pulmonary embolism (pe). Pulmonary emboli usually arise from thrombi that originate in the deep venous system of the lower thrombolysis for pulmonary embolism.
Lung cancer is the most frequently diagnosed cancer and the leading cause of cancer death among males worldwide.
A pulmonary embolism (pe) is a blockage in one of the blood vessels (arteries) in the lungs pulmonary embolism symptoms. Surgery puts patients at increased risk for pulmonary embolism (pe). The use of low monoenergetic reconstructions (low monoe) allows 'iodine boosting' of the chronic emboli may be mistaken for acute emboli. Pulmonary embolism (pe) is a clot in the lung artery, most often due to deep vein thrombosis. Cancer and pulmonary embolism development. Z effective and iodine maps provide lung perfusion assessment. For the treatment of pe in cancer patients, lmwh is recommended in preference to a vitamin k antagonist. This text is currently a copy of the pulmonary embolism entry on wikipedia. Overview lung cancer is a malignancy that affects the lung parenchyma or airways. Increased risk of pulmonary embolism in patients undergoing surgery for lung cancer involve extensive surgical intervention, the intrinsic procoagulant effect of. After treatment for a pulmonary embolism, patients need to learn how to live with the risk of recurrence. Lung cancer is the most frequently diagnosed cancer and the leading cause of cancer death among males worldwide. The symptoms will depend on how large or small the clot is, and previous dvt or pe.
Kurap dapat menyebar melalui kontak dengan permukaan benda yang digunakan oleh orang atau hewan yang terinfeksi. Selain itu, juga masih banyak hewan domestik … Pak victor mengatakan anjing itu tertabrak motor. Di awal kehamilan, perut memang belum terlihat besar dan sering tidak menyadari kalau sudah mengandung si kecil. Hanya karena pemiliknya merasa bosan, banyak hewan ditelantarkan, ujar merry. Itik Banyuwangi : February 2012 from 3.bp.blogspot.com Hanya karena pemiliknya merasa bosan, banyak hewan ditelantarkan, ujar merry. Tuberkulosis (tbc) adalah penyakit akibat infeksi bakteri myobacterium tuberculosis. "sayang, pemiliknya tidak tahu cara mengobati anjing, sehingga dibiarkan begitu saja," ungkap pak victor sembari mengajakku melihat cello dari dekat. Hal ini sudah ditanyakan oleh orang terdahulu pada tahun 90an yang diman...
Understanding Breast Cancer Cancer Council Australia / Australian cancer prevalence exceeds 1 million - Cancer ... : About 150 men are diagnosed with breast cancer in australia each year and most of these men are over for more information on the treatment of breast cancer please see our understanding breast cancer booklet. . Reviewed by gabriela pichardo, md on february 07, 2021. Cancer council victoria has developed an international reputation for their innovative work in cancer research, prevention and support. Cancer council australia has called for greater awareness of breast cancer in men, following nick greiner's revelation that he was recently diagnosed. Breast cancer is the abnormal growth of cells in the breast. Understanding breast cancer is reviewed approximately every two years. Having 1 or more risk factors does not mean that you will develop cancer. Understanding stomach and oesophageal cancers. About 150 men are diagnosed with breast cancer in aust...
How Do You Know If You've Got Colon Cancer - Signs Symptoms About Bowel Cancer Bowel Cancer Uk / The earlier you detect cancer, the better the chances of survival. . It's important to get checked if you have any of following problems. So in order to detect and remove them, colonoscopy is needed every 10 years.. A weight loss of 10 pounds or more, when you haven't changed your diet and exercise habits, could be cancer, especially if you also have other colon cancer symptoms. Although it is slightly more common in men, 1 in every 24 women will be diagnosed with colon or rectal cancer at some point in her life. I'm always going to do what i can to fight this disease, he said. En español | if you haven't scheduled your first colonoscopy yet, it's high time you do. The presence of blood in the urine is usually a sign of bladder cancer, not colon cancer. Colon cancer most often spreads to the liver, but it may also reach the lungs, the lymph. N...
Komentar
Posting Komentar